Skip to main content
Dr Hannahan
A Great Dentist
Request an Appointment
Like us on Facebook
Leave a Google Review
(931) 487-9997
General and Aesthetic Dentistry
1012-C Crossings Blvd. Spring Hill, TN 37174
Family Owned and Operated Since 2010
Home
About
Our Doctor
Office Pictures
Services
View All
Cleaning and Examinations
Cosmetic Dentistry
Crowns and Bridges
Dental Implants
Dentures and Partials
Digital Dental X-Rays
Family Dentistry
Periodontal Disease Prevention
Tooth Extractions
Teeth Whitening
Smile Gallery
Testimonials
Forms
FAQs
View All
Crowns and Bridges
Family Dentistry
Periodontal Disease Prevention
Recommended Products
Contact
Dr Hannahan
>
Smile Gallery
>
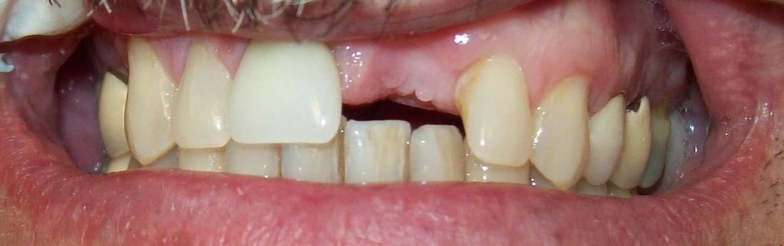
Complete Smile Restoration
Complete Smile Restoration
Return to Smile Gallery
Next
Patient had a missing tooth, along with defective prior restorations. We performed a complete smile restoration, along with Zoom teeth whitening.
Related Services:
Cosmetic Dentistry
Teeth Whitening
Before
After
Improve your smile today – call to schedule a consultation!
Claim Now!
OK!
×
×
Contact Us Today
Give Us A Call
Andrea Hannahan, DDS, PLLC -
(931) 487-9997
Send Us an Email
Request an Appointment
Contact Us
Ready to Schedule an Appointment?
Book Online
Have Questions? Contact Us:
Required Field
Your Name:
Phone:
Email:
Are you a new patient?:
Are you a?
New Patient
Current Patient
How would you like us to contact you?
Please choose
Email
Call
How did you hear about us?
Please choose
I'm an existing patient
Google/Bing
Mailer
Word of mouth
Social media
Other
Who Referred You?:
Appointment Preferences
Monday
Tuesday
Wednesday
Thursday
Friday
Your Message:
This site is protected by reCAPTCHA and the Google
Privacy Policy
and
Terms of Service
apply.
Sending...
×
This Patient's Experience
Loading Testimonial...
Loading Case...